Wieder mal

Nach neun Wochen war es mal wieder so weit.

Nach neun Wochen war es mal wieder so weit.
Gestern vormittag rief mich meine Frau an und sagte mir das sie gerade einen Rettungswagen gerufen hätte.
Mailo wäre gestolpert und mit dem Kopf auf eine Ecke gefallen und hätte da jetzt ein Loch.
Ich machte mich auf das schlimmste gefasst und wartete auf weitere Meldungen.
Gegen Mittag dann die Entwarnung, es ist nur eine Platzwunde die geklebt wurde und die nur verheilen muss.

Er war ganz tapfer und hat nur beim reinigen und kleben ein bisschen gemeckert.
Seit gestern ist mein Handy wieder da.
Dieses Mal wurde die Platine getauscht was bei dem anderen Gerät geholfen hat.
Ich bin also guter Dinge das mein Handy jetzt hier bleiben wird.
Wir haben unser Anzuchtprogramm für 2021 erfolgreich gestartet.

Dieses Jahr, gibt es selbst gezogene Tomaten, Paprika und Zucchini.
Wir haben je sechs Torftöpfchen mit Samen angesetzt, bei den Tomaten sind alle angegangen, bei den Zucchini sind vier was geworden und bei den Paprika ebenfalls vier.
Wir werden die Pflänzchen bald umsetzten und dann kann es so richtig losgehen. Wir freuen uns schon.
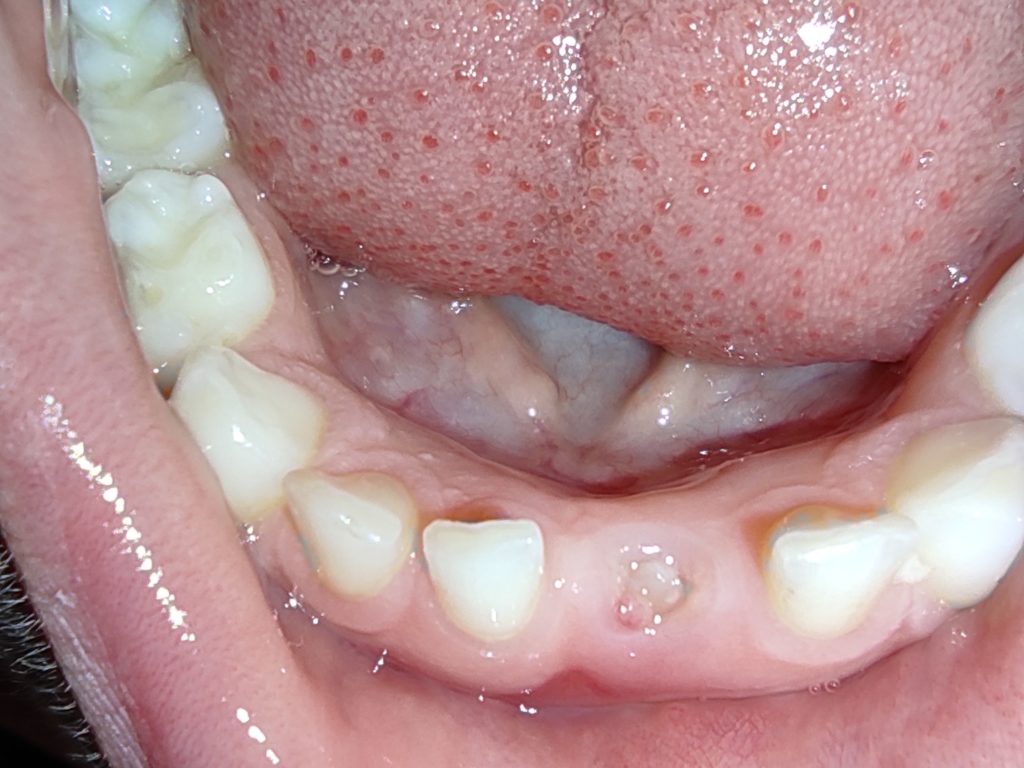
Der erste ausgefallen Zahn ist noch gar nicht so lange raus, da kommt schon der neue.

Ganz aufgeregt kam Melina wieder aus dem Bett und berichtete sie uns das der neue Zahn schon da wäre.
Die ersten Google Mini waren eine Anschaffung ohne das ich den Sinn daran gesehen habe.
2018 hatten wir schon in jedem Raum einen Google Mini stehen oder hängen und alle Stehlampe und andere mit Stecker angeschlossene Gerät ließen sich per Sprache steuern.
Letztes Jahr habe ich in alle Schalter für die Deckenlampe ein Schaltmodul eingesetzt um auch diese per Sprache steuern zu können.
Mittlerweile habe ich die Lampen so eingestellt, daß z.B. die Flurbeleuhtung eingeschaltet wird wenn wir nach Hause kommen. Die Stehlampe im Wohnzimmer schaltet sich bei Dämmerung selber ein. In der Küche haben wir einen Bewegungsmelder der eine indirekte Küchenbeleuchtung einschaltet, sobald wir die Küche betreten.
Die indirekte Beleuchtung reicht voll und ganz aus um Kleinigkeiten zu erledigen. Wenn man dann doch mal das Deckenlicht benötigt, kann man es noch dazu einschalten.
Ganz neu ist seit dieser Woche, das wir smarte Heizkörper Thermostate haben.

In unserer Wohnung sind ganz alte Heizplatten verbaut die mit Regulierventilen (Nur auf und zu möglich, keine Regelung) ausgestette sind. Diese Ventile wurden nachdem ich mich schlau gemacht hatte und dies unserem Hausmeister mitgeteilt habe auf Ventile mit Thermostatkopf umgerüstet.
Für die neuen Ventile müsste ein bisschen forschen bis passende Adapter gefunden hätte um die smarten Thermostate montieren zu können.
Zusätzlich zu den Thermostaten haben ich noch an jedem kippbren Fenster einen Tür-/Fensterkontakt angebracht der veranlasst das die Heizkörper geschlossen werden wenn ein Fenster geöffnet wird bzw. offen ist.
Das klappt echt super.
Ein riesen Vorteil, das Zimmer meiner Tochter ist so warm wie noch nie zuvor. Wir wohnen nun seit 6 Jahren in der Wohnung und das Zimmer war zwar nicht der kältesten Raum in der Wohnung aber merklich kälter wie die anderen Räume.
Was der Bosch Smart Home Kompenenten angeht gibt es noch viel mit dem ich mich beschäftigen werde.
Ich habe heute morgen die Mitteilung erhalten das der Steuerbescheid für 2020 zum Abruf bereit liegt.
Nach Feierabend habe ihn dann abgerufen.
Ergebnis; Das Finanzamt hat dem entsprochen was die Software ausgerechnet hat.
Wir werden in den nächsten Tagen einen Geldeingang auf unserem Konto verzeichnen können.
Was ich an niedrigen Außentemperaturen liebe ist, das man vorgekochtes Essen zum auskühlen aufs Fensterbrett stellen kann.

Wenn es soweit abgekühlt ist kommt es in den Kühlschrank.
Gestern morgen hatte ich den Abgabetermin für das Screeninggerät.
Was ist raus gekommen?
Nichts, laut der Ärztin habe ich keine Atemaussetzer während der Nacht. Im Gegenteil laut dem was das Gerät aufgezeichnet hat, habe ich sehr gut geschlafen.
Gefühlt war die Nacht für mich anders.
Ich habe mir direkt einen neuen Termin bei meinem Hausarzt gemacht um mit ihm das weitere Vorgehen zu besprechen.
Ich musste mein Handy doch wieder einsenden.
Kaum hatte ich den Beitrag veröffentlicht, machte mein Handy wieder einen Neustart.
Ich habe es heute an der Arbeit mit auf den DHL-Container gemacht und hoffe, dass es schnell dort ankommt und repariert wird.
Wir hatten uns diese Woche einen Termin bei IKEA gesichert um noch ein paar Kleinigkeiten zu besorgen.
Dabei habe ich mir Bilderrahmen für meine Medaillen gekauft.
Heute haben wir sie eingerahmt.

Aufgehangen haben wir sie an vorhandenen Nägeln.
Meine Frau hat jedes einzelne große Geschäft meiner Tochter durchsucht und hat heute morgen Erfolg gehabt und hat den verschluckten Zahn heraus gewühlt.

Interessant finde ich dass der Zahn hohl ist.

Meine Tochter hat ihn in ihre Zahndose gesteckt.
Gestern war ich bei meinem Schlafmediziner und habe ein Gerät für ein SAS-Screening abgeholt.

Durch die Kabel und Schläuche war es nicht die beste Nacht, aber was tut man nicht alles für die Gesundheit.
Der hier beschriebene Wackelzahn ist raus.


Er ist heute während des Einkaufs heraus gefallen und Melina hat ihn verschluckt.
Sie traurig das sie den Zahn nicht unter ihr Kopfkissen legen kann. Wir werden die nächsten Tage auf Entdeckungstour in ihren Hinterlassenschaften gehen und gucken ob wir ihn finden.
Wir erziehen unsere Kinder zur Selbstständigkeit. Wenn Sie Hilfe bei etwas benötigen fragen Sie uns danach, dann helfen wir Ihnen selbstverständlich.
Wir wohnen in direkter Nachbarschaft zur Kita der Kinder so dass meine Frau irgendwann nachgefragt hat ob Melina auch alleine kommen könnte. Die Frage wurde bejaht.
Wir haben sie bisher aber trotzdem in die Kita gebracht, auch wenn sie vor laufen durfte und den Weg so teils schon alleine ging.
Gestern morgen, sagte sie auf einmal das sie alleine gehen möchte.
Ok, wir ließen sie machen.
Sie zog sich an, nahm ihren Rucksack und stiefelte los.
Wir konnten sie bis auf eine kleine Stelle vollständig verfolgen und sehen das sie die eine Straße ganz aufmerksam und vorsichtig überquert.
Meine Frau und ich sind richtig stolz auf Sie.